Metal, Ceramic, and Lingual Braces: Premium-Grade Materials for Premium-Grade Smiles
Do You Need Spacers?
Spacers are generally used for a week or two before braces treatment, to create small gaps between certain teeth. Spacers are usually used on the back molars, where metal bands will be attached. The spacers are made of rubber or metal.
If your orthodontist uses them for your case, you will only wear them for 1-2 weeks. Spacers may feel uncomfortable, like a piece of food trapped between your teeth with braces.
Explore your options with a consultation
What Are Metal Braces Made Of?
Metal braces can be made of many different kinds of metal, combined into a mixture known as an alloy.
The most effective metal braces are made of titanium alloys, combined with a small amount of nickel and/or chromium. Chromium-nickel-cobalt alloys are also popular and effective. Incognito® lingual braces use a gold alloy for their brackets, which are affixed to the inside of the teeth.
All metal braces alloys should be designed for corrosion resistance and biocompatibility, to ensure they do not cause inflammation or irritation of the mouth, gums, and lips when affixed for treatment. (Some irritation or discomfort is normal at the beginning of treatment, as your mouth adjusts to the new appliance). Ask your orthodontic provider about what kind of metals they use for their braces.
Metal braces need to be made of corrosion-resistant materials because your saliva works hard to break down anything in your mouth ?? that ??s how your body digests food.
No metal is entirely corrosion-proof, but the metal alloys used in metal braces corrode very slowly and will remain in excellent condition throughout the length of your treatment. For that reason, corrosive metals like iron are rarely used in braces, or used in very small quantities.
What is the Metal Wire in Braces Made Of?
It depends on the provider and the specific treatment, but generally, the metal wire is made of a different material than the metal brackets.
It ??s usually constructed from a stainless-steel alloy that provides maximum flexibility as it stretches across the brackets over the teeth, and enough force to gently move the teeth into their correct alignment. Known as an archwire, this part of the appliance is extremely important: it ??s actually at the heart of moving your teeth appropriately. Stainless steel provides the ideal mix of flexibility and force for this purpose, although some archwires might be made of different metals, such as copper, chromium, and nickel.
Can Metal Braces Rust?
Rust is the corrosion of iron: since iron starts to corrode fairly quickly, it ??s not used in metal braces or used in very small quantities.
The metal used in metal braces are selected for their durability and level of corrosion resistance: usually an alloy of titanium, nickel, and/or chromium, or in some cases, cobalt. These alloys are designed to be resistant to corrosion.
No metal is 100% corrosion-proof ?? all metals degrade over time. However, these alloys are designed to resist corrosion so effectively that they will stay in excellent condition for as long as your orthodontic treatment lasts.
You shouldn ??t notice any corrosion of the metal for the length of your braces treatments. If you have questions, consult your orthodontic provider.
Are Metal Braces Safe?
Yes, metal braces are entirely safe. The metal alloys used in braces treatment are FDA-approved and designed for biocompatibility, to ensure effectiveness without disrupting your body ??s normal processes.
The metal is free of any harmful chemicals, easy to clean, and stain and corrosion-resistant. Metal braces are a safe and effective treatment for kids, teens, and adults of all ages.
The only concern with metal braces is for those with nickel allergies: in those cases, your orthodontist will use a nickel-free metal for the braces to prevent an allergic reaction.
If you have further questions about the safety of your metal braces, consult with your orthodontist.
Explore your options with a consultation
Can You Be Allergic to Metal Braces?
In very rare cases, patients may be allergic to the metal in braces. This is rare, but when it happens, it is typically because of an allergy to nickel, which is contained in small amounts in the metal alloys used for braces brackets or wires.
The allergic reaction is usually dermatological, creating a rash or itchy skin on the lips or cheeks. If you have a nickel allergy, you can still get metal braces: your orthodontist will simply use a nickel-free metal alloy for your treatment.
You can also consider different orthodontic treatments ?? look into ceramic braces, which are usually nickel-free, or Invisalign aligners, which are made of clear plastic aligners and don ??t contain any metal at all.
If you ??re not sure if you have a nickel allergy, you can consult a dermatologist or allergen specialist, who can do an allergy test to determine whether you have a nickel allergy.
Explore your options with a consultation
Can I Get An MRI with Braces?
Yes, it is entirely safe to get an MRI with braces. However, the metal in your braces can distort the images if the part of your body to be imaged is in your mouth, neck, or head area. Your medical doctor will determine whether the metal braces will distort the MRI or not.
Explore your options with a consultation
Are Metal Braces Effective?
Metal braces are the original form of orthodontic treatment, and they are still extremely effective, safe, reliable, and comfortable! Millions of people ?? kids, teens, and adults ?? get straight teeth and beautiful smiles using metal braces every year, with long-lasting results.
The technology used in metal braces has continued to evolve, using state-of-the-art metal alloys and precision 3D modeling to achieve outstanding results, every time.
They are also one of the most cost-effective kinds of orthodontic treatment and can straighten even the most complex orthodontic cases.
If you ??re interested in getting straight teeth and a beautiful smile, metal braces can be the tool you need to achieve the results you want!
Ceramic Braces: Results You Can See from Treatment You Can ??t
If you ??re looking for braces treatment with a subtler appearance than metal braces, ceramic braces may be just what you ??re looking for.
Ceramic braces are an innovative treatment method that uses the same basic design as metal braces, but with materials designed to blend in seamlessly with your mouth. Instead of metal brackets, ceramic braces brackets are made of a clear or tooth-colored resin that matches your teeth.
Ceramic braces provide optimal results, straight teeth, and a beautiful smile, with a subtle appearance that many patients love.
Learn more about the technology used in ceramic braces below.
Explore your options with a consultation
What Are Ceramic Braces Made Of?
Ceramic braces are designed similarly to metal braces: a bracket is affixed to each tooth and are connected by a wire, to slowly and safely move the teeth into their correct alignment.
Ceramic braces are an innovative variation on metal braces treatment, to make the orthodontia less noticeable and more subtle. Instead of metal brackets, they use a tooth-colored or clear polymer resin to make the brackets, which when affixed on the teeth are very subtle and hard to see.
The archwire is made of thin, light-colored metal, designed to blend in with your smile. The result is an effective, safe, and comfortable treatment, with minimal impact on your appearance.
Explore your options with a consultation
Are Ceramic Braces Safe?
Yes, ceramic braces are entirely safe for use by kids, teens, and adults of all ages. All materials are designed for biocompatibility, to make sure they don ??t irritate your mouth during treatment. The resins and metals used in braces are all medical-grade materials that are approved for medical use by the FDA.
The plastic used in the resins is BPA-free, and entirely non-toxic. It will not degrade in your mouth and will last throughout treatment for excellent, reliable, effective results.
Explore your options with a consultation
Are Ceramic Braces as Effective as Metal Braces?
Ceramic braces use the same basic technology as metal braces and achieve the same results. They are an excellent, reliable alternative to metal braces.
For some patients, metal braces may still be a better choice than ceramic braces, as ceramics are slightly less durable than metal braces and more prone to breakage. Athletes or anyone with an extremely active lifestyle may prefer metal braces. Some studies have found ceramic braces to be twice as likely to break as metal braces.
They are also more prone to staining, since they are clear or light-colored, which requires more careful care and a potentially more restricted diet. The ligatures ?? or rubber bands that go over the brackets to keep the wire attached ?? are also clear, so they can stain more easily, although these are changed out every month so this is less of a problem.
Due to a likelier possibility of breakage, treatment times with ceramic braces may be slightly longer than with metal braces. Ask your orthodontist which treatment is best for you.
If you ??re looking for an excellent, effective treatment regimen with minimal impact on your appearance, ceramic braces are a great choice.
Explore your options with a consultation
Lingual Braces: Treatment That Works Behind the Scenes
Lingual braces offer a creative form of braces treatment with minimal impact on your appearance. The brackets and ligatures are actually placed behind the teeth, straightening them from behind.
This allows you to straighten your teeth without the direct appearance of braces! Learn more about Incognito braces below.
Explore your options with a consultation
What are Lingual Braces Made Of?
Typically, lingual braces are made of an alloy containing gold, which is good for straightening teeth with consistent contact with your tongue and saliva.
They are entirely safe for use for kids, teens, and adults of all ages, and made of medical materials that are approved for use in orthodontic appliances by the FDA.
Explore your options with a consultation
Are Lingual Braces Safe?
Yes, lingual braces are entirely safe. The brackets are cast for your custom treatment requirements in gold and are approved for use by the FDA, as well as the American Association of Orthodontists and the American Dental Association.
Explore your options with a consultation
Are Lingual Braces Effective?
Yes, lingual braces are an effective orthodontic treatment. They are popular for patients who want to straighten their teeth without the appearance of braces.
They tend to be considerably more expensive than traditional metal braces, due to the customization required in creating the treatment, and the fact that fewer orthodontists offer this option.
Their specific design makes them effective for certain types of treatment cases, but some patients may experience better results with metal braces, especially for more complex cases. If you ??re wondering whether Incognito braces are right for you, consult with your orthodontist.
Explore your options with a consultation
Using X-Rays for Orthodontic Care: Imaging to Show the Full Dental Picture
Cephalometric radiographs, also known as x-rays, are an important part of your orthodontic care. Unlike regular pictures of your smile, x-rays get a full picture of your entire dental structure: what ??s above and below.
Using a very small, entirely safe amount of radiation, x-rays show your doctor your teeth, bones, and dental structure, even the parts that are hidden behind your tissue. This allows the doctor to see the whole picture, and catch any underlying decay, bone structure issues, or complex root development that needs to be corrected.
The majority of braces patients will get x-rays: they are entirely safe, and your licensed orthodontist will take all necessary precautions to keep you safe. The metal in your braces will not put you at risk when getting x-rays.
Explore your options with a consultation
3D Imaging in Orthodontic Care: Cutting-Edge Tools for Comprehensive Care
In the past, orthodontic treatment was limited to 2-dimensional imaging to create pictures of patients ?? teeth. Both cephalometric radiographs (x-rays) and photographs (as well as putty molds) were used to develop an image of the teeth, bones, and underlying dental structures.
In recent years, digital technology has helped revolutionize the imaging capabilities of orthodontists. 3D imaging now allows doctors to develop a comprehensive image of the entire dental structure, and even create predictive modeling to determine the most effective treatment methods.
Explore your options with a consultation
Choose an Expert Orthodontist Using State-of-the-Art Tools
There are many options for braces treatment. Whichever you choose, it ??s important to remember that every orthodontic appliance is a tool in the hands of your doctor. The most important part of achieving straight teeth is always your experienced, licensed orthodontic provider.
Make sure to find a provider that specializes in orthodontia, not a general dentist who may only treat a few cases a year. You ??ll save money, and get your care from the most experienced professionals, at a dedicated orthodontic office.
Look around your neighborhood for the orthodontic provider with the best reviews and the most experience. After all, your smile is forever, and it deserves the very best care.
Explore your options with a consultation
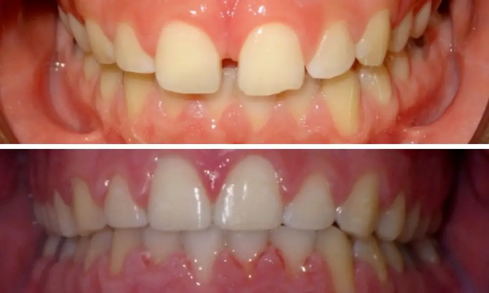
Braces Treatments, Before and After
Braces are known to transform smiles using the same tried and true methods that have worked for generations. We have compiled several real Diamond Braces patients who have corrected their smiles using braces.
Explore your options with a consultationRead More On Braces
Can You Eat Cereal With Braces?
Cereal has been a breakfast staple for decades. Many of us enjoy a nice bowl of our favorite cereals to eat for breakfast. However, if you have braces, you may be wondering if you can enjoy your favorite cereal.
Read More About Eat Cereal With BracesHow Long Do You Need to Wear Braces?
Braces are worn for anywhere between 12 and 36 months. The average is about 24 months, but treatment lengths differ depending on your specific case and the type of treatment.
Read More About Wear Braces
Snacks to Eat With Braces
Looking for a braces-friendly snack while you finish work or watch your favorite TV show? There are a wide variety of braces-friendly snacks, perfect for patients with all sorts of tastes.
Read More About Snacks Eat With Braces
What Are Partial Braces? Cost, Pros & Cons, And Common Questions
Some patients may not have severe malocclusions, but they could still have minor bite issues that warrant correction.
Read More About Partial Braces
Can My Teeth Really Relapse After Wearing Braces? What Happens When My Teeth Start to Relapse?
If you’re a former braces wearer, then you might be disappointed to see those successful results beginning to wane.
Read More About Teeth Relapse After Wearing Braces
Can You Eat Gummies With Braces?
Braces wearers and those of you with a sweet tooth should brace yourselves: you're not going to like what you read here. No, you cannot eat gummy candy with braces.
Read More About Eat Gummies With Braces
Can You Eat Peanut Butter With Braces?
Peanut butter is a staple food in many diets across the world as one of the most versatile foods available.
Read More About Eat Peanut Butter With Braces
What Can You Not Eat With Braces?
One of the best ways to prevent delays in your braces treatment is to watch what you eat.
Read More About Not Eat With Braces
Affordable Braces Near You in Stamford, CT
You’ll find the best orthodontists providing affordable braces treatment at Diamond Braces in Stamford, CT! We proudly serve Stamford, Darien, Norwalk, New Canaan, Greenwich, Westport, Wilton, and more – and have been creating Diamond smiles for over 20 years.
Read More About Braces Near You in Stamford, CT
Braces for the Whole Family in Rego Park, Queens
Looking for an affordable, effective braces solution for your family? Great news: you can find it right in your neighborhood in Queens!
Read More About Bracesin Rego Park, QueensStraight Teeth Isn’t The Only Benefit of Having Braces
When most people think about getting braces, the first thing that comes to mind is straighter teeth. What they don’t realize is all of the health benefits that come along with orthodontic treatment.
Read More About Benefit of Having Braces
Food Related FAQ on Braces
Navigating Orthodontic Cuisine - Your Comprehensive Guide to Eating Right, Maintaining Oral Health, and Embracing Delicious Meals While Embarking on Your Journey to a Straighter Smile.
Read More About Food Related FAQ
Age Related FAQ on Braces
Navigating Orthodontic Transformation at Any Age: A Comprehensive Guide to Age-Related FAQs About Braces.
Read More About Age Related FAQ
Purchasing Related FAQ on Braces
Are you considering braces as a solution to straighten your teeth and achieve a confident smile? This comprehensive guide provides answers to frequently asked questions related to purchasing braces, ensuring that you have the information you need to make an informed decision about your orthodontic journey.
Read More About Purchasing Related FAQ
Discover the Best Braces Options at Diamond Braces in NYC
The cost of traditional metal braces starts at $3,600. This price includes labor and materials.
Read More About Discover the Best Braces Options
Revamp Your Smile with Diamond Braces: Adult Options
The cost of braces for adults can fluctuate widely. This variation is due to factors such as the type of braces chosen and the complexity of the individual’s dental condition.
Read More About Revamp Your Smile with Diamond Braces
Flexible Payment Plans for Braces: Tailored to Your Needs
We offer braces payment plans starting at $89 per month for 24 months. These plans come with 0% interest loans.
Read More About Flexible Payment Plans for Braces
Affordable Adult Braces: Tips for Pregnancy & Savings
In the realm of oral health, the prospect of wearing braces as an adult often comes with the assumption that the costs won’t be fully covered.
Read More About Tips for Pregnancy
Braces for All Ages: Perfect Smile at Any Age
At Diamond Braces, we believe everyone deserves a straight smile. Our first step is an orthodontic evaluation. This helps us understand your needs and plan your treatment.
Read More About Braces for All Ages
Metal, Ceramic, and Lingual Braces: Premium-Grade Materials for Premium-Grade Smiles
Spacers are generally used for a week or two before braces treatment, to create small gaps between certain teeth.
Read More About Metal, Ceramic, and Lingual Braces
Complete Guide to Braces De-Bonding & Retention Phase
Once your orthodontic treatment is complete, your misaligned teeth are corrected, and your teeth are straightened, it’s time for the day everyone looks forward to: the removal of braces, or de-bonding.
Read More About Guide to Braces De-Bonding
Affordable Braces, Flexible Payments: Transform Your Smile
At our dental clinic, we believe that everyone deserves a beautiful smile. We understand that financial constraints can often pose a challenge.
Read More About Affordable Braces, Flexible Payments
Alleviating Braces Pain: Soft Foods and Home Remedies
If you’re experiencing discomfort from your braces, certain foods can help. Initially, stick to soft foods. This will ease the adjustment period for your teeth.
Read More About Alleviating Braces Pain
Understanding Veneers Cost, Lifespan, and Disadvantages
When comparing the cost of dental veneers and braces, veneers often have a lower initial cost.
Read More About Understanding Veneers Cost
Fun and Festive Braces Color Combinations for Every Occasion
Color combinations can indeed be fun and exciting, especially in representing seasons or sports teams.
Read More About Braces Color Combinations
How Braces Will Make You Happy: A Guide by Diamond Braces
At Diamond Braces, we hold a firm belief: a beautiful smile equates to a happy smile.
Read More About How Braces Will Make You Happy
How Much Are Braces at Diamond Braces?
Interested in knowing the cost of braces? You're not alone; it's a common concern for those considering orthodontic treatment.
Read More About How Much Are Braces
How Much Are Braces? Unveiling Costs with Diamond Braces
Deciding to pursue a perfect smile with braces is a significant step. At Diamond Braces, we recognize the importance of understanding the costs involved.
Read More About How Much Are Braces? Unveiling Costs
Navigating Braces: What You Can & Can't Eat
Braces pain relief with ice cream: Ice cream is a great solution for braces pain relief.
Read More About What You Can & Can't Eat
Managing Discomfort: Spacers for Braces and Care Tips
Orthodontists use braces spacers to create space between teeth. This space is necessary for the orthodontic appliance, specifically the molar bands.
Read More About Managing Discomfort
The Joy of Eating
Imagine biting into a crisp apple, chewing a piece of steak, or enjoying corn on the cob without any difficulty.
Read More About The Joy of Eating
Dealing with Tooth Discomfort and Sores During Braces
Experiencing pain or soreness as your teeth move to their correct positions is normal.
Read More About Dealing with Tooth Discomfort
