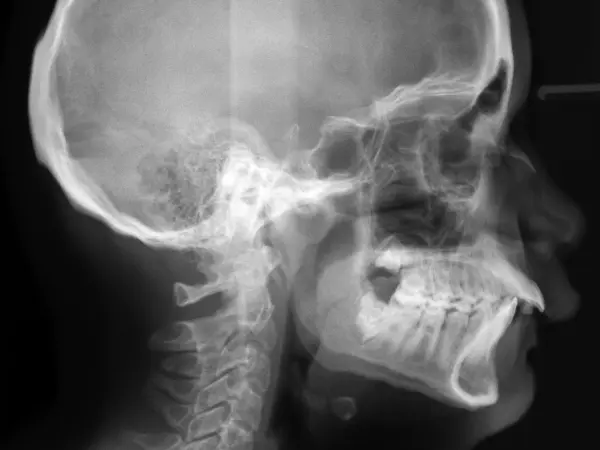
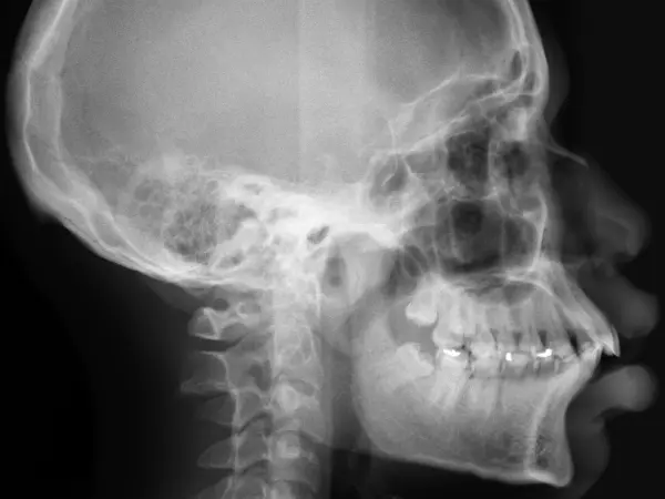
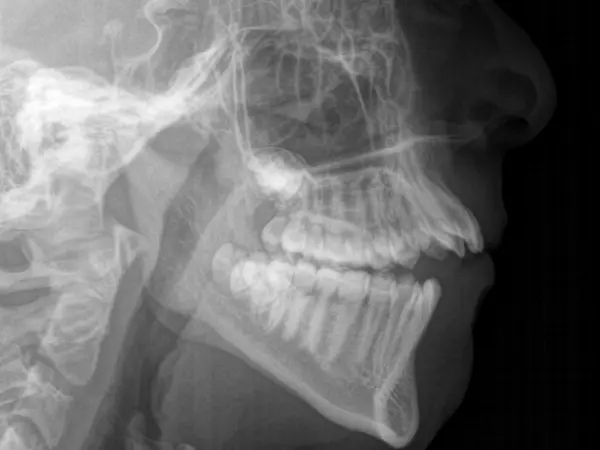
Various types of orthodontic conditions in patients
Orthodontic Conditions
ential to maintain a proper position of teeth for overall wellbeing. Addressing a bad bite often requires orthodontic treatment.
Each type of malocclusion has its own causes and issues. But all of them need attention for the health of your teeth and mouth. For treating these, dentists use various "treatment options" and "treatment plans." These are designed to correct your bite and improve your dental health.
Schedule a Smile Evaluation
Many other problems, including:
- Difficulty chewing, biting, eating, or swallowing
- Breathing problems
- Digestive issues from improperly chewing food, including pain/discomfort
- Dental and/or jaw pain
- Temporomandibular joint dysfunction (TMD)
- Speech problems, such as a lisp
- Chipped or broken teeth
- Irregular facial appearance
- Excessive bacteria growth and plaque build-up
- Snoring, teeth grinding, or other sleeping issues
- Difficulty closing mouth
- Embarrassment with smile and/or lack of confidence
For these reasons, it's very important to treat a malocclusion with high-quality orthodontic care from an experienced doctor.
Below, you’ll find more information on common forms of malocclusions. Remember, many patients have a combination of several of these conditions – your teeth may not look exactly like any of these examples, but an experienced orthodontist will be able to determine your exact diagnosis, and recommend a treatment method.
Open Bite
Overbite
Impacted Teeth
Crossbite
Excessive Overjet
Crowding
Gaps Between Teeth
Regarding Orthodontic Extractions
Open Bite
An open bite occurs when the top and bottom rows of teeth don't touch when the mouth is closed. Open bites can occur in the front of the mouth (anterior open bite) or the back (posterior open bite), although front-teeth open bite is more common. Genetics or prolonged thumb-sucking in childhood are common culprits of open bites.
Learn more about open bite
Overbite
An overbite is a too-large overlap between the top teeth and the bottom teeth. The top teeth hang too far over the bottom teeth: in severe overbites, the bottom teeth may even make contact with the roof of the mouth, causing damage to the tissue and bone. While a small overbite is normal in a proper bite, too large overbites are considered malocclusions and should be treated with orthodontic care.
Learn more about overbite
Impacted Teeth
Impacted teeth are teeth that don't grow in properly. They stay stuck in the gums and don't move into the right place in the mouth. This can cause problems for other teeth.
For example, other teeth might move into the wrong space. This can lead to gaps, crowded teeth, damage to nearby teeth, cysts, or other issues.
Brush and floss your permanent teeth regularly to take good care of them. This helps to keep your adult teeth healthy.
If you have an impacted tooth, you might not need to have it removed. But, it's important to see an orthodontist. They will check your teeth and decide if you need treatment.
Learn more about impacted teeth
Crossbite
Crossbite, or underbite, is a malocclusion when the top and bottom rows of teeth overlap improperly. The bottom teeth are set past the top teeth when the jaw is closed. This can occur in the front or back teeth, and can create a combination of overbite and underbite, or underbite and open bite.
Learn more about crossbite
Excessive Overjet
An overjet is a condition where there's a large horizontal gap between the top and bottom teeth when the mouth is closed. This gap makes the front teeth stick out. This condition is often called "buck teeth." A small overjet is normal, but a larger one requires orthodontic treatment.
There are various treatments for overbite and underbite, including traditional metal braces. These braces are one of several types of braces used to correct overjets. Another option is lingual braces. They work like traditional braces but are less visible because they're placed behind the teeth.
Learn more about overjet
Crowding
Crowded teeth occur when there is insufficient space, leading to misalignment. This crowding is a common reason people go for orthodontic treatments. There are various causes for crowded teeth. Each person needs a special treatment plan to move their teeth into the right place.
Orthodontic solutions for crowded teeth include different methods. One popular option is Invisalign. This treatment can help straighten crooked teeth, especially in the upper front teeth area. It's designed to move the teeth gently into their correct positions.
Another cause of crowded teeth is tongue thrusting. This habit can push teeth out of place. Orthodontists create plans to correct these issues, ensuring every tooth sits properly.
Learn more about crowding
Gaps Between Teeth
Gaps between teeth, also known as too-large spaces, can occur in both upper and lower teeth. These gaps might be a single space or multiple spaces. They often require orthodontic treatment to manage.
One common method is wearing braces. Braces, along with rubber bands, help in managing gaps and spacing in teeth orthodontically.
A specific type of gap, called a diastema, appears between the front teeth. If this gap does not cause any problems for the patient, it might not need treatment. In some cases, a combination of braces and prosthetic work is used to treat these gaps.
Learn more about gaps
Orthodontic Extractions
For severe malocclusion, sometimes orthodontists suggest removing teeth. This is not common and is considered only when necessary for the best results. If tooth removal is needed, it is part of the braces treatment.
This could happen before or during the treatment time. An orthodontist won't remove the tooth themselves. Instead, they will send you to a skilled oral surgeon or dentist.
Orthodontic appliances, like braces or aligners, are important for straightening teeth. After these treatments, you might need to wear a retainer. This helps to keep your teeth in their new position.
Always consult with your dentist or orthodontist for the best advice. They will guide you on the right treatment for your needs.
Learn more about extractionsOther Articles of Interest

