All The Things You Need To Know About Spaces/Gaps Between Teeth - video
What Are Gaps Between Teeth? What Causes Gaps Between Teeth? What is Diastema? Treatment Options and More
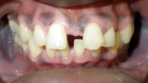
Gaps between teeth are unwanted spaces between two or more of the teeth – some people may only have a single gap (a diastema), or several gaps.
Gaps between teeth are treatable with orthodontic intervention, or a combination of both orthodontic and prosthetic work.
Whatever issues arise from gaps between teeth, braces or Invisalign treatment in the hands of an experienced orthodontist can both be excellent options to correct the problem and create healthy, properly aligned smiles for patients of all ages.
Read on to learn more about gaps between teeth and how orthodontic treatment can help.
Table of Contents What Are Gaps | Causes | Signs | How to Treat | Before & After | FAQsWhat Are Gaps Between Teeth?
Gaps are too-large spaces between two or more of the teeth.
When teeth do not grow in properly or are pushed out of alignment, one of the issues that may occur is gaps between teeth. The teeth are spaced too far apart, leaving room between them instead of touching each other.
Some people may have only one gap – often between the top front teeth, which is called a diastema – while others may have gaps between several teeth.
Gaps between teeth can have harmful effects on your teeth and mouth, as well as your overall health. It also may cause embarrassment or dissatisfaction with your smile, which can decrease confidence.
What Are the Causes of Gaps?
Gaps between teeth may be caused by several different factors.
Common Causes of Gaps:
- Natural skeletal development, where the teeth simply grow in this way
- Extra teeth, which push other teeth out of the correct positions
- Missing teeth, which create a large gap or cause other teeth to fill the gap improperly
- Losing baby teeth too young, so the adult teeth grow in misaligned
- Small teeth, which don't take up the proper amount of room
- Large jawbone, which creates too much room for the teeth and creates a gap.
- Too-large tongue, which causes the teeth to flare and creates spaces between the teeth
- Periodontal disease, which cases bone-loss between the teeth: teeth become mobile (shaking) and shift, causing gaps between them
- High frenum attachment (the band of skin between teeth attaching lip to the jaw) can cause spacing to develop
Spaces caused by missing teeth
Spaces caused by gum recession and traumatic bite
Spaces caused by small teeth and deep overbite
Spaces caused by large frenum and small teeth
Spaces caused by small teeth and frenum
External Factors
Gaps may also be created by external factors: habits like thumb-sucking or tongue-thrusting can push teeth out of alignment, causing a gap to appear over time. Or losing a tooth can cause the teeth next to it to spread into that hole, causing gaps on either side.
Whatever the cause, gaps between teeth can be corrected. Some patients will require both orthodontic intervention and prosthetics to correct, with orthodontic treatment occurring before prosthetic correction. Both braces and Invisalign are effective in closing gaps between teeth if used by an experienced orthodontist.
What are the Signs of Gaps Between Teeth?
You can usually tell if you have a gap simply by looking at your smile in the mirror: in a properly-aligned smile, you shouldn’t see any gaps. However, gaps may be small and subtle, or in the back of your mouth where you can’t see them. And sometimes what appears to be a gap may be in fact an improperly-rotated tooth.
One good way to check for gaps in your teeth is while flossing. Using a medium-length piece of floss, wrap your fingers around either end, then insert the floss between your teeth. You should feel a small amount of resistance as the floss slides between your teeth. If you feel no resistance, because the floss can slide between the teeth without touching either tooth, the gap between those teeth is too large.
If you have gaps between your teeth, consult with a licensed, experienced orthodontist in an accredited, dedicated orthodontist’s office to talk about treatment options. If left untreated, those gaps may cause gingival irritation and food impaction, causing gingivitis and periodontitis.
Are Gaps Bad for Your Teeth?
Yes, gaps can cause problems for your teeth and overall health.
When children still have a mix of baby and adult teeth, gaps are normal as the teeth are falling out and growing in at different rates. The gaps may resolve themselves on their own when all the adult teeth come in. Your child’s orthodontist will carefully monitor how the teeth are growing in, and if it seems that gaps will not be corrected naturally, then orthodontic intervention will likely be necessary.
If gaps are not corrected when adult teeth fully erupt, there can be negative consequences:
- Self-esteem or confidence issues/being embarrassed to smile
- Misaligned teeth
- Extra bacterial growth and plaque build-up from misaligned teeth
- Tooth decay
- Periodontal disease
- Trouble biting, chewing, or swallowing
- Gingival inflammation due to food impacting on unprotected gum between the teeth
Properly-aligned teeth are key to overall health. After all, your mouth is the gateway to the rest of your body; keeping them clean and healthy is extremely important for the lifelong health of the rest of you!
How to Treat Gaps Between Teeth
Luckily, gaps between teeth are treatable with careful intervention by an experienced orthodontist, and one of the many conditions licensed orthodontists are specifically trained to address. There are several different treatment methods for correcting gaps between teeth: Invisalign is very effective for this condition, as are metal and ceramic braces. A retainer will also be used to keep gaps from re-opening.
Braces
Braces are an effective, convenient, and affordable method for correcting gaps between teeth. There are several braces options, including metal, ceramic, and lingual (Incognito®) braces – depending on your diagnosis, you may be eligible for all of these. Orthodontists have used braces to help many thousands of people close their gaps.
Learn More About Braces
Invisalign Clear Aligners
Invisalign treatment is a reliable, effective, and comfortable way to treat a gap between teeth when supervised by an experienced Invisalign doctor . Clear aligners are growing in popularity across the country since they can achieve the same results as traditional braces without the appearance of metal in your mouth, are less invasive, and can successfully correct gaps in teeth for teenagers and adults alike.
Avoid Mail-Order Brands
Mail-order companies use teledentists, which can have serious consequences for your treatment since you lose the benefit of in-office supervision and face-to-face care. Thousands of consumer complaints have been filed against mail-order aligner companies , and the American Association of Orthodontists recently issued an advisory warning against their use. Think carefully before entrusting the health of your smile to a video screen.
Learn More About Invisalign Clear Aligners
Dental Bonding
Dental bonding is sometimes necessary to fully close gaps between teeth. This is typically the case when gaps are caused by having very small teeth. For dental bonding to be effective, teeth need to be positioned properly before the bonding procedure can happen. Orthodontic treatment is therefore usually required prior to dental bonding for best results.
When looking for solutions for gaps in your teeth, be sure to pick a licensed, experienced orthodontist in a dedicated orthodontist's office, which will have access to the most effective materials and technology. A general dentist may not have the same equipment or expertise as an orthodontist’s office and may cost more .
Schedule a Smile Evaluation
Retainers
Retainers are used as a protective measure after other orthodontic treatments: whether you get braces or Invisalign, your orthodontist will provide you with a retainer (either plastic & metal or a set of clear aligners), that you will wear at night to keep your smile in place and gaps in teeth from coming back.
Because gaps will re-appear if not tended to after treatment, most orthodontists recommend a bonded retainer (glued behind your teeth) to keep aligned teeth in place.
Whatever retainers you use, it's very important to wear them as instructed to maintain the results of your orthodontic care.
Learn More About RetainersTreating Gaps Between Teeth: Before & After
Omar, 34 years old, space closure, before and after Invisalign treatmentNigel, 35 years old, small teeth spaces, before and after Invisalign treatment
Frequently Asked Questions About Gaps Between Teeth
-
Why is a Gap Forming Between My Teeth?
Gaps can appear even in adult teeth where there was no gap before, particularly between the two front teeth, which is called a diastema. Sometimes, an overgrowth of tissue on the border between your gum line and your two upper front teeth will cause the teeth to push apart, resulting in a gap. If you notice a gap appearing, consult a licensed orthodontist who can recommend treatment to close the gap.
-
How Long Does It Take to Close a Gap Between Teeth?
Every case is unique, so it depends on the specific of your condition and the gaps themselves. A single small gap can be closed in 6-9 months using braces or Invisalign treatment; multiple gaps may take from 12 months to 2 years to fully close, in a safe, effective, and long-lasting manner.
-
Can the Gap in My Teeth Get Bigger?
Yes. A gap can – and likely will – increase over time. This is especially likely if a tooth falls out or is removed, and other teeth start to move into the space left behind, leaving more gaps. Because gaps can get worse over time, it's important to address them as early as possible to keep them from increasing and keeping the smile healthy and properly aligned, for the best overall health of your body.
-
Can Gaps in Teeth Close Naturally?
Gaps may close naturally only in children whose baby teeth are still falling out. As their adult teeth grow in, the gaps may close on their own. For younger patients still growing their adult teeth, orthodontists will generally wait to see how the teeth come in, using x-rays to predict the future growth of new teeth. If the gaps do not close naturally, then orthodontic treatment may be necessary.
If gaps appear in adults whose full set of teeth have already grown in, it's much less likely the gaps will close naturally; instead, you should consult an orthodontist about closing the gap using braces or Invisalign aligners.
-
Can Braces Close a Gap Between Teeth?
Yes, braces are an excellent solution for gaps between teeth. Metal or ceramic braces can both be used to close a dental gap, either in the front or gaps in the side teeth. Braces are affordable, comfortable, easy to maintain, and provide excellent, long-lasting results.
For younger patients on certain insurance plans, metal braces may be fully covered as part of their health insurance plan for this orthodontic issue. All patients can see great results from braces to close gaps between teeth!
-
How Fast Do Braces Close Gaps Between Teeth?
It depends on the specific diagnosis, the skill of your orthodontist, and the size of the gap. A single gap can be closed using metal or ceramic braces in only 6-8 months, but more extensive treatment may be required for more complex cases, from 12 months to 2 years.
-
How Much Does It Cost to Close a Gap with Braces?
Treatment costs vary depending on the orthodontic provider you choose, where you get your treatment, and the specifics of your condition. Choosing a dedicated orthodontic provider rather than a general dentist will usually save you money and lead to faster results. Braces treatment to close a gap in your teeth can cost anywhere from $1,700 to $7,000. Insurance and payment plans can help make treatment more affordable
-
Do I Have to Correct the Gaps Between My Teeth?
Having properly-aligned teeth is critical to a healthy mouth and the overall health of your body. Large gaps between teeth can cause bacterial growth and plaque build-up, leading to tooth decay or periodontal disease. Gaps can also cause trouble biting, chewing, or swallowing, and cause pain in your teeth or jaw. For these reasons, it's best to close gaps between your teeth.
However, the small gap between the top front teeth – called a diastema – is quite common, and many people elect to not close this gap because they like the way it looks. A small diastema is not a serious concern, but it’s especially important to maintain proper oral hygiene to prevent any decay or damage, and always remember, gaps will increase in size as you get older. That is why it is important to close them on time to avoid future issues.
-
Can Invisalign Treatment Close a Gap Between Teeth?
Yes, Invisalign treatment is a highly effective solution for closing gaps between teeth. Clear aligners are comfortable, convenient, and discreet, making them a popular treatment option with great results and without the appearance of metal braces. Some orthodontists find they can close a gap faster than traditional braces and are more comfortable for the patient.
-
How Fast Can Invisalign Treatment Close a Gap Between Teeth?
Treatment times depend on the specific condition and diagnosis of your teeth – there may be other issues besides gaps that require more intervention – as well as the skill of your Invisalign provider. Closing a small gap may be possible with expedited Invisalign treatment, with results in only 6-9 months. More complex cases can take between 12 and 24 months.
-
How Much Does It Cost to Close a Gap with Invisalign?
Treatment costs vary for Invisalign, depending on your specific case and where you select a provider. Choosing a dedicated orthodontist with Invisalign treatment experience will lower your costs and decrease treatment times. Generally, Invisalign to close a gap will cost between $2,650 and $6,000.
-
Does Dental Bonding Work for Closing a Gap Between Teeth?
Sometimes, dental bonding is necessary to close the gaps between the teeth. This is especially true if the gaps are caused by unusually small teeth.
However, for dental bonding to be effective, teeth need to be positioned properly before dental bonding can take place. Orthodontic treatment is therefore usually required prior to dental bonding for best function and aesthetics.
-
Can You Close Gaps in Your Teeth Without Braces?
Yes – Invisalign treatment is an excellent solution for closing gaps between teeth. Clear aligners are much more discreet than traditional braces but equally effective, and in some cases even faster than braces.
Invisalign treatment uses revolutionary, patented technology to carefully align teeth using clear, nearly-invisible aligners that blend seamlessly with your smile, providing more comfort and easier maintenance than traditional braces. Ask your orthodontist about Invisalign!
-
Can You Close Gaps in Teeth at Home?
Orthodontists strongly discourage attempting to close any kind of dental condition at home. Orthodontists study for years to learn how to straighten teeth safely and effectively. Trying at-home methods, like using rubber bands or pushing on your teeth, can seriously harm your teeth, sometimes with lifelong consequences.
If you have gaps in your teeth, consult a licensed, experienced orthodontist for treatment. Your smile is forever: give it the care it deserves for lifelong health and happiness!
-
Can You Close a Front-Tooth Gap?
Yes, it is very easy to close a front-tooth gap with orthodontic care. Called a diastema, this gap affects about 20% of the population. It is simple to close with braces or Invisalign clear aligners, with quick treatment times and very effective results.
Some adults may develop a diastema even well after their adult teeth grow in, but it is still possible and effective to close the gap at any age. Consult a licensed orthodontist about closing your front-tooth gap with braces or Invisalign treatment!
-
How Do Braces Close Gaps Between Teeth?
To close gaps between your teeth, your orthodontist will attach brackets to your teeth and place a flexible wire across them. The wire links the brackets and provides the force that moves the teeth slowly and safely into place, bringing your teeth into their proper positions and closing the gaps. They may also use rubber bands to bring the teeth into alignment.
Moving teeth requires years of training. Be sure to choose an experienced orthodontist who is equipped with the tools and skills necessary for properly closing a gap, with the best results and the longest-lasting smile.
-
How Does Invisalign Treatment Close Gaps Between Teeth?
-
Invisalign treatment is very effective to close gaps between teeth. When you visit the orthodontist for Invisalign treatment, a dental professional will take an iTero® 3D scan of your teeth and bite, and possible x-rays as well, depending on your provider. Your expert orthodontist custom-designs each clear aligner and attachment, based on a modeling system to accurately predict how to close each gap between your teeth. You'll wear a series of custom-designed aligners to slowly adjust your teeth into their correct positions, for results that will keep you smiling for years to come.
-
-
Is Invisalign Treatment or Braces Better for Closing Gaps Between Teeth?
Both braces and Invisalign treatment work extremely well for closing gaps in teeth. Braces may be more cost-effective and may be fully covered by insurance depending on your provider. Metal and ceramic braces are both reliable, effective, and comfortable.
Many patients prefer Invisalign treatment for closing a gap since the subtle appearance of clear aligners makes for a discreet treatment that doesn't impact a patient’s appearance as much. In addition, clear aligners are more comfortable to wear than braces. Invisalign is convenient, and effective, and can close a gap between teeth quickly and with great results

