Symptoms & diagnosis of dental crowding and Treatment
What is Crowding? Symptoms, Treatment Options, FAQs, and More
When the mouth does not have enough space for all your teeth, it can lead to crowding.
Dental crowding is a type of malocclusion – or “bad bite” – that occurs as a result of this problem. Rather than grow into their correct positions, when the teeth do not have enough room, they will grow in unnatural positions, trying to find a space to grow in competition with other teeth. This can lead to crooked, crowded teeth that don't line up properly.
Dental crowding is a common orthodontic concern and thus is treatable with braces and Invisalign with supervision by licensed, experienced orthodontists. There is a wide spectrum of crowding, and each unique case can be addressed with careful care from an in-office orthodontist.
This guide is designed to help you understand more about dental crowding: what it is, why it’s important to treat, how to correct it, and more. We’ve attempted to answer all questions about dental crowding – but you can always ask your licensed orthodontist for answers as well!
Consult for Dental Crowding Solutions NowTable of Contents: What Is Dental Crowding | Causes | Signs | Is It Bad for Your Teeth? | How to Treat | Before & After | FAQs
Dental Crowding?
Dental crowding happens when teeth don't have enough space in the mouth. This causes teeth to grow in twisted and not straight.
Normally, teeth should have enough room to grow without being too close or too far from each other. They should touch gently and line up well when you bite. However, not everyone's teeth grow in perfectly.
Dental crowding is a common problem where teeth are not aligned right. This can be because of genetics or other factors. When this happens, teeth fight for space and end up crooked.
There are various dental crowding treatment options. It's key to address this issue with good orthodontic care. This helps avoid tooth decay and other problems.
Symptoms and diagnosis of dental crowding include noticing that your teeth are not lined up or straight. One reason for dental crowding is thumb sucking, which can affect how teeth grow.
Braces are a popular choice for fixing crowded teeth. They are especially useful for straightening the front teeth. When it comes to dental crowding, there are various types of braces available. Each type offers a unique way to straighten your teeth.
"Invisalign and braces for dental crowding" are both effective methods for treating this common orthodontic issue. The treatment times for braces can differ based on the individual's needs.
It's essential to choose the right treatment. This ensures your teeth become healthy and straight. Remember, finding the correct type of braces is key to fixing crowded teeth and improving your dental health.
Dental Crowding?
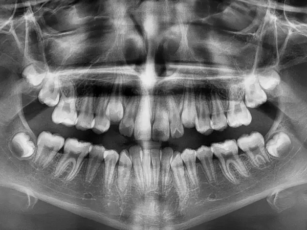
Dental crowding can be caused by a number of factors. Genetics is usually a part of the problem: if your jaw is too small, it can impact the way the teeth grow in, causing crowding. Other factors that can cause dental crowding:
- Losing baby teeth prematurely
- Extra adult teeth
- Abnormal tooth growth
- Unusually large teeth (can be caused by certain syndromes)
Whatever the cause of crowding, there is a wide spectrum of different severities of crowding. Some causes may result in only one twisted tooth; others may cause the entire row of teeth to grow in improperly.
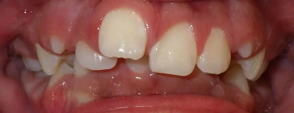
Signs of Dental Crowding?
If you're not sure if your teeth are crowded – or if you’re concerned about your child’s teeth being crooked – there are a few signs you can look for to assess whether the teeth are crowded.
Signs of dental crowding:
- Tooth discomfort on biting
- Crooked teeth set at unnatural angles in your mouth
- Teeth overlapping each other
- Crossbite
- Excessive overjet
- Jaw pain
- Trouble biting or chewing
- Difficulty brushing and flossing
- Bleeding gums when flossing
If you have questions about whether these signs indicate dental crowding, schedule a consultation with a licensed orthodontist for more information. They will be able to do a thorough examination to determine whether your teeth are too crowded and what to do about it.
Bad for Your Teeth?
Treating crowding in your teeth is essential. Crowded teeth can overlap, making them hard to clean. This difficulty in cleaning can lead to more bacteria and plaque. As a result, you might face dental issues.
These issues are not just limited to your teeth. They can also affect your overall health.
It's important to address dental crowding. When teeth are crowded, it's tough to keep them clean. This can increase bacteria and plaque, leading to various dental issues. In turn, these problems can impact your general health. So, it's crucial to treat crowding in your teeth for better oral and overall health. Remember: a healthy mouth equals a healthy body.
Problems resulting from dental crowding:
- Cavities or dental caries
- Gum/periodontal disease
- Aching jaw or teeth
- Embarrassment with smile/low self-esteem
- Trouble chewing or biting
- Temporomandibular joint dysfunction (TMD)
It's really important to handle dental crowding quickly. The American Association of Orthodontists suggests that kids should see an orthodontist at age 7. They might not need treatment right away, but the orthodontist can watch how their teeth grow. This way, they can make a plan to fix or even prevent crowding.
If you have crowded teeth, go see an orthodontist. Any age is okay!
Orthodontists are experts in making teeth straight. They use braces or Invisalign to do this. These methods are good at fixing crowding. They're also comfortable. You'll end up with straight teeth and a great smile.
The cost and duration of dental crowding treatment vary. It depends on your specific needs. Dental insurance plans often cover some of these costs.
When you visit a dentist or orthodontist, ask about this. They will explain how braces or Invisalign move the teeth. You'll learn about tooth colored options too. These are less noticeable.
Crowded, misaligned teeth can lead to other dental problems. But don't worry. Orthodontists have different treatment plans. They might suggest traditional metal braces or other methods.
The right treatment for you depends on your teeth. Your orthodontist will help you choose the best plan.
Book Your Orthodontist Consultation Today
