Gingivectomy: What It Is, Benefits, Applications, Before & After Images, and More
A gingivectomy is a procedure used to assist patients struggling with gum inflammation. According to the American Dental Association, nearly 47.2 percent of Americans over 30 have some form of gum disease, which accelerates the need for gingivectomies, one of the few procedures available to reverse the negative consequences of periodontal disease.
Read on to learn exactly what a gingivectomy is, what benefits they provide, when your dental clinician may recommend a gingivectomy, and see the before and after results of a gingivectomy.
Table of ContentsWhat is a Gingivectomy? | Why Would You Need It? | Types | Health Benefits | Negative Effects of Gum Disease | Is It Painful? | Gingivectomy vs. Gingivoplasty | Gingivectomy & Orthodontic Treatment
What is a Gingivectomy?
A gingivectomy is a dental procedure in which a dental clinician will remove a portion of their patient's gums. There are three main reasons why this would occur:
- The clinician is removing infected tissue from the patient’s dentition to prevent it from spreading
- The clinician wants to remove tissue surrounding the patient’s teeth to improve their appearance or function
- The clinician wants to correct gum recession due to aging, injury, or any other miscellaneous reason
According to the University of Michigan Health and Medicine Department, gingivectomies become necessary when the gums have pulled away from the teeth, creating deep pockets within your gum line. These pockets make it difficult to adequately brush your teeth, which can lead to plaque buildup, which can then lead to a host of periodontal and other kinds of diseases.
This procedure is usually performed with traditional dental instruments, but modern advancements have seen the introduction of laser tools, which can accurately remove tissue using low-frequency bursts. Although laser treatments are becoming more popular, they are expensive, require additional training, and may not be covered by insurance, meaning that scalpel treatments are best for those looking for a cost-effective option to repair their mouth.
The clinician will numb the area using a local anesthetic, then begin to cut away pieces of the gum tissue. Once the tissue has been cut away, the clinician will shape the gumline and seal the wound using specialized dental putty, sutures, or bandages. While your gums heal, you can eat soft foods and drink cool or slightly warm liquids but be careful to avoid disturbing the affected area. This means avoiding touching the affected area, pulling on your lips, and manipulating objects with your mouth, such as straws and especially cigarettes or other tobacco-infused products.
Worried about your oral hygiene? Rinse with a warm saltwater mixture for the first night. Afterward, your mouth should be ready for you to resume brushing. You may want to keep the floss away from your healing gums for a few days, though.
Why Would a Patient Need a Gingivectomy?
Patients would need a gingivectomy when the gums have pulled away from the teeth, creating deep pockets within a patient’s gumline. These pockets make it difficult to adequately perform oral care, which can lead to plaque buildup, which can then lead to a host of periodontal diseases, which if further left untreated, can lead a patient to other kinds of diseases.
In most cases, the clinician is the one who will seek the gingivectomy, but a patient may also request one to improve aesthetics and their oral health.
Types of Gingivectomies
To perform a gingivectomy, your dental professional will use one of three techniques: manually with a scalpel, electrosurgery, or using a laser. Studies have shown that laser surgery provides the best postoperative healing but is also the most expensive. Inversely, manual surgery performed with a scalpel is most cost-efficient but can result in longer recovery times.
Health Benefits of a Gingivectomy
The main benefit of a gingivectomy is that your gums will return to a normal, healthy state for some time. However, it’s up to you to maintain your healthy mouth by regularly brushing and flossing, while also making routine trips to your general dentist. Failure to do so will put your right back into the situation you were when the gingivectomy was required in the first place, so be sure to brush and floss diligently to avoid periodontal issues from reappearing in the future.
Also, you may want to use this opportunity to quit using tobacco if you smoke or chew. Tobacco use can lead to gum disease as it reduces your gum tissue’s ability to fight infection and delays healing.
There are added health benefits to a healthy mouth. A healthy mouth can then produce adequate levels of saliva, thereby killing harmful bacteria that try to enter the body through the mouth. A healthy mouth can also chew food more effectively, which can then lead to more effective digestion.
Negative Effects of Gum Disease
Failing to maintain a healthy mouth can cause gum disease, which can then cause negative effects not just in the mouth, but in the entire body as well. The most common gum disease is gingivitis, which is another word for inflamed gums. Inflammation of the gums can cause pain, discomfort, and bleeding while brushing and flossing.
If left unchecked, gingivitis can progress into periodontists, which causes your gums to recede, form pockets, expose more of your tooth, allow bacteria to attack it, and cause further damage. The pockets can also become infected, causing even more damage to your mouth. If still left unchecked, the bacteria inside your mouth will continue to run rampant, leading to the gums and bone receding further, leading to tooth loss.
Once bacteria can easily get past the first line of defense – your mouth – it will enter the body and start to cause further issues. According to the NHS, gum disease has been linked to other health problems, including heart disease, diabetes, strokes, and even rheumatoid arthritis.
How to Prevent Gum Disease
So, what can you do to prevent gum disease or stop it from getting worse? It’s simple – use oral care products, visit your general dentist on a regular basis, and maintain a healthy lifestyle.
You’ve likely seen or heard advertisements for oral care products mentioning gingivitis and how they can stop it. That’s because using these products is exactly how you prevent gingivitis from occurring. Brushing at least twice per day, flossing, and rinsing with mouthwash can help to prevent gum disease from occurring. Keep at your oral care routine and eventually your mouth – and body – will feel better.
Are Gingivectomies Painful?
In the pantheon of dental procedures, gingivectomies will tend to be on the less painful side. Prior to beginning the procedure, your dental practitioner will numb the area using an anesthetic, then apply a coating to the affected area once the procedure is complete.
In the following days, your pain should lessen. Rinsing with warm salt water can clear the area of bacteria. Do not use mouthwash or other antiseptic liquids. You can also take over-the-counter pain medication such as acetaminophen or ibuprofen to lessen the pain. However, avoid aspirin, as it can cause you to bleed more.
Pain and discomfort should last about a week. If your pain does not lessen over time and remains at the same level over multiple weeks, visit your clinician again. Other warning signs to watch out for are excessive bleeding that does not stop, pus or discharge appearing, or a fever starting to occur.
What Should I Do After a Gingivectomy?
After a gingivectomy, your mouth will be very tender. After all, a doctor just finished adjusting your gums using surgical equipment! To manage pain, consider placing an icepack on your mouth for 15 minutes, then removing it for 15 minutes, and repeating. You can also take ibuprofen or acetaminophen tablets, or the painkillers your doctors prescribed. Please make sure you take the amount that is prescribed to you and no more.
As far as your post-surgery meals go, you want to develop a diet with your tender mouth in mind. Soft foods like soups, pastas, eggs, mashed potatoes, yogurt, veggies, and more are ideal post-surgery meals, at least for the first few days. Avoid crunchy, salty, sticky, and spicy foods for a while. Once your mouth starts to heal, you can revert back to your normal diet.
How Long Does Swelling Last After a Gingivectomy?
Your swelling will be at its peak 2 to 4 days after surgery and will continue to be present for about 1-2 weeks. For the first two days, you want to use a cold pack to reduce the swelling, then switch to a heat pack on the third day. You will also want to sleep with an elevated head, which can help reduce swelling.
Do Your Gums Grow Back After a Gingivectomy?
Yes, your gums will eventually heal naturally and form back into place. As time passes, though, the amount of gum tissue you have will depend on the amount of bone you have available. While bone loss is natural after age 65, postponing bone loss is as simple as maintaining a healthy diet and keeping up with your oral care routine.
According to the New York Department of Health, the following steps can keep your bones strong for life:
- Maintain a healthy diet full of multiple food groups, including fruits, vegetables, proteins, and carbohydrates.
- Keep a healthy weight based on your height.
- Receive 1000 to 1200 milligrams (mg) of calcium each day from calcium-rich foods and take a supplement only if needed.
- Get 600 to 800 IU of vitamin D; this usually requires a supplement.
- Perform at least 30 minutes of activity multiple times a week
- Do not use tobacco products; quit if you are currently using them.
- Limit the amount of alcohol you intake.
- Take safety precautions to prevent falls and broken bones.
- Take care of your teeth and gums
- Brush your teeth and gums with a soft-bristle toothbrush at least twice a day. Use fluoride toothpaste.
- Use dental floss daily to clean between your teeth.
- Replace your toothbrush every 3-4 months.
- If you wear dentures, keep them clean and be sure they fit well.
- Visit your dentist regularly – usually once every six months.
What is the Difference Between a Gingivectomy and a Gingivoplasty?
According to Healthline, a gingivectomy removes gum tissue for cosmetic or clinical reasons. It is a smaller-scale procedure that usually resolves from start to finish in about 2 weeks.
A gingivoplasty is a more complex procedure that involves reshaping the gums for a better aesthetic appearance. Gingivoplasties are usually performed on individuals with “gummy” smiles – individuals with too-long gums that make for an aesthetic appearance that may be unpleasant to some. Rarely are gingivoplasties performed on patients with clinical issues but it does happen sometimes.
Benefits and Indications of a Gingivectomy After Orthodontic Treatment
Some dental professionals recommend undergoing a gingivectomy after completing orthodontic treatment as a preventative or even a cosmetic measure. Braces can cause food particles and bacteria to remain in the mouth if extensive oral care routines are not regularly conducted, which can then lead to periodontal disease. A gingivectomy can eliminate the periodontal pocket and give the patient’s gums a corrected appearance.
Gingivectomies also serve a cosmetic purpose for patients, especially those who underwent orthodontic treatment. The combination of a healthy, straightened smile alongside healthy, properly shaped gums can give an orthodontic patient increased levels of oral and overall health, as well as increased confidence levels that come with a healthy, attractive smile.
Can You Get A Gingivectomy With Braces?
Yes — your braces treatment will not affect your eligibility for a gingivectomy, especially if it is needed to remove afflicted gum tissue.
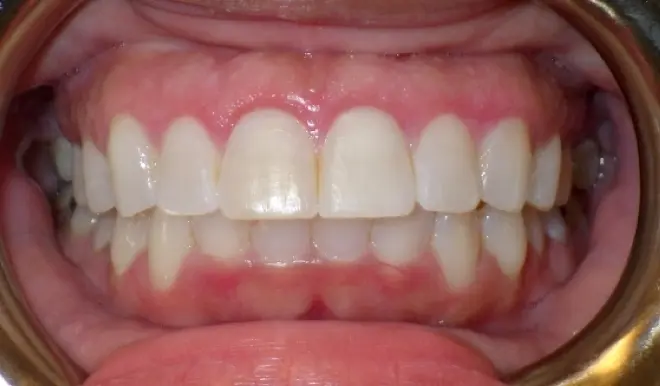
Below is a dental patient who underwent a gingivectomy and braces treatment. You can see the benefits of both in real-time as the patient’s smile becomes healthier and more aesthetically pleasing following each step.
Can You Get a Gingivectomy With Invisalign Aligners?
Yes — much like braces treatment, your Invisalign treatment will not be impacted by a gingivectomy.
Below is an example of an Invisalign patient who had a gingivectomy performed on them.
Common Gingivectomy FAQs
-
Is a Gingivectomy Necessary?
In certain cases, yes, a gingivectomy may be necessary to remove gum tissue that is negatively impacting a patient's oral health.
-
Is a Gingivectomy Safe?
Yes - gingivectomies are perfectly safe and used often to treat patients with gum problems.
-
Can I Get a Gingivectomy While Pregnant?
No. Anesthesia can be harmful to unborn babies and, since gingivectomies require anesthesia to tolerate the procedure, any work should be best left before or after a pregnancy.
-
How Much Does a Gingivectomy Cost?
According to Healthline, gingivectomies cost between $200-$400 per tooth. You may be able to get a discount based on different factors, such as multiple teeth, insurance, shorter sessions, pursuing other treatment options simultaneously, and more.
-
Is a Gingivectomy a High-Risk Procedure?
Not really – gingivectomies are low-risk procedures that don't have much in the way of implications that can come after the fact. The biggest risk that can come with a gingivectomy is infection, which can be avoided if proper post-surgery care is taken.

