Impacted Teeth: Symptoms, Diagnosis and Treatment - video
What Are Impacted Teeth? How To Diagnose, Treatment Methods, and More
An impacted tooth is a tooth that has not passed through the gum-line to grow into position on its own.
Instead, the tooth remains stuck ?? or ?? impacted ? ?? in the gum tissue or bone. This can cause dental problems and other health concerns if left untreated.
There are several causes of impacted teeth, and a variety of methods for treating the issue. This guide will help you understand impacted teeth, why it ??s important to treat this condition, and how expert orthodontic care can fix it.
Consult an Orthodontist for Impacted Tooth Care Table of Contents:What Are Impacted Teeth? | Causes | Signs | Is It Bad for Your Mouth? | How to Treat | Before & After | FAQs
What Are Impacted Teeth?
Impacted teeth occur when the teeth can ??t grow in properly on their own; either something is obstructing their movement ?? such as the baby teeth not falling out ?? or there is not enough room for all the teeth. This causes the teeth to get stuck, sometimes barely pushing out from the gumline, or not visible at all under the gums.
Some people may have several impacted teeth, while others have only one. This depends on the causes of impacted teeth and how the teeth grow in. Alternatively, some people have impacted baby teeth, but their adult teeth grow in properly, or vice versa. It all depends on your unique teeth.
While impacted teeth may not cause pain or discomfort ?? you may not even know it ??s there ?? it ??s important to monitor it and, in some cases, to treat it. This can mean drawing it out to its proper position or extracting it.
Impacted Baby Teeth
When a baby tooth won ??t fall out on its own, it may become submerged in the gum line or impacted and require intervention to remove it. It is uncommon, but in certain cases, these teeth can stubbornly refuse to fall out. This has a reciprocal effect on the adult teeth, which have no room to grow in properly and thus can either can get impacted themselves or grow in at a problematic angle.
An x-ray will help determine whether the baby teeth are causing improper growth of the adult teeth, and in some cases, the affected baby teeth will be removed early to leave room for the adult teeth. This is one of the reasons why early orthodontic intervention can be extremely useful: The American Association of Orthodontists recommends children see an orthodontist by age 7.
Impacted Wisdom Teeth
The most common impacted teeth condition is wisdom teeth, the last set of molars, which often don ??t grow in due to lack of room in the mouth. Many people will have these impacted teeth removed in their teenage years or early twenties.
Impacted teeth don ??t generally cause pain, but the condition should be carefully observed and treated if necessary. If left untreated over time, impacted teeth may cause dental damage, pain, or other health issues. If impacted third molars do not cause any issues or show any potential problems, dental professionals recommend careful observation to monitor any changes.
Get Expert Advice on Wisdom Teeth Impaction
WHAT CAUSES Impacted Teeth?
There are multiple causes of impacted teeth; an impacted tooth can be caused by one or multiple of the following factors.
Common Causes of Impacted Teeth:
- The tooth has twisted or grown in at an angle that won ??t fit, so it stops pushing through
- Other teeth in the mouth have overcrowded the space for that tooth to grow in
- The jaw is too small to fit more teeth, causing some to grow in and others to stop
- The tooth is too big to fit in the space where it needs to grow
- Genetic factors affecting the teeth or jaw
- Accidental damage to the baby tooth affects the erupting adult tooth beneath, causing the adult tooth to become impacted
Since you grow two sets of teeth throughout your life, baby teeth and then adult teeth, there is a possibility of a tooth getting impacted and failing to grow in at either stage.
Book a Consultation for Impacted Teeth TreatmentBaby Teeth Can Cause Impacted Adult Teeth
The causes of impacted teeth may be genetic ?? especially a mismatch between the size of your teeth and the size of your jaw ?? or could be caused by external factors, like premature loss of baby teeth, due to an accident or other mouth trauma.
Adult teeth can be impacted due to improper growth or delayed loss of baby teeth. This is common with the canine teeth (also called cuspid or upper eyeteeth). Delayed or premature loss of the first set of canines can stop the growth of adult canines, causing them to become impacted.
Causes of Impacted Wisdom Teeth
The wisdom teeth are the last teeth to grow in, erupting typically between 17-21 years of age. Wisdom teeth are vestigial: they were useful for our human ancestors, who had to chew much tougher raw foods than we do now, but we no longer need such robust molars. Over time, our jaws shrank ?? but wisdom teeth remain.
For some individuals, there will be enough room in the jaw for the wisdom teeth and they can grow in normally, but for many people, wisdom teeth get impacted without enough room to grow in.
Impacted teeth can cause pain or jaw damage. T hey also can stay impacted without any negative consequences ?? it depends on the specific case.
If they are impacted, your dentist or orthodontist will observe your wisdom teeth and determine whether they should be removed. Extraction of impacted third molars (wisdom teeth) requires oral surgery and can be a complex procedure. Therefore, observing the wisdom tooth impaction is important, since removal may not always be necessary. Ask your orthodontist for their professional counsel regarding your wisdom teeth.
WHAT ARE THE Signs of Impacted Teeth?
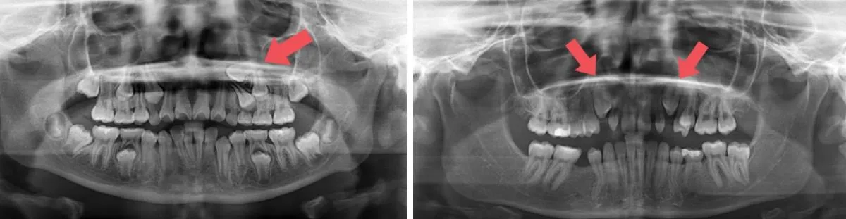
You may or may not be able to see the impacted tooth: sometimes, it is visible at the gum line, but stuck from growing in further. In other cases, it may be still entirely embedded in the gums, and you cannot see it.
X-rays help your orthodontist determine the position of the impacted teeth, even if you can ??t see it in your mouth.
Other signs to look out for that may be evidence of an impacted tooth:
- Bad breath
- Bad taste in your mouth
- Gum tenderness or pain
- Swollen, red, or painful gums
- Gaps in teeth
- Headaches
- Jaw aches
- Pain when opening your mouth
- Difficulty or pain when chewing, biting, or swallowing
- Premature or delayed loss of baby teeth
If you have crowded teeth, it can be difficult to assess whether a tooth has grown in or not just by looking at your teeth: visiting an orthodontist is important since they can take x-rays to examine which teeth may not have grown in properly.
If you have any of these signs, consult a licensed, experienced orthodontist who can examine your teeth, take x-rays and diagnostic records, and assess whether there is a need for treatment.
Schedule an Orthodontist Visit for Tooth Impaction
