Can You Get Clear Aligners with Wisdom Teeth?
Patients often qualify for removable clear aligners. This is true even if they have veneers, bridges, crowns, or other dental restorations.
In some situations, patients with missing teeth can also use clear aligners. An orthodontist can use tooth-colored pontic wax to fill the gaps where a tooth is missing.
Curious about the impact of wisdom teeth on braces and Invisalign treatment? Wondering if they influence candidacy, or if it's a case-by-case matter? Explore the ideal timing for wisdom teeth removal with aligners as you continue reading.
Do Wisdom Teeth Affect Aligners?
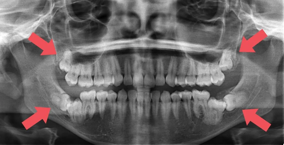
Wisdom teeth, often the most impacted molars, face challenges in erupting due to limited space in the mouth. They typically begin growing after the age of 7 and do not have a well-defined purpose for modern humans. Developing a treatment plan for these teeth is essential for maintaining good oral health.
Wisdom teeth typically emerge between ages 17 to 21, which may align with someone considering removable clear aligner treatment. Luckily, painless and asymptomatic wisdom teeth usually won't disrupt clear aligner treatment progress. Your orthodontist can conduct an x-ray examination before fitting your clear aligners to assess any potential issues with wisdom teeth that could affect your treatment. Don't forget to regularly brush your teeth to maintain their health and prevent any unwanted shifts in your teeth.
During clear aligner treatment, if wisdom teeth are extracted by an oral surgeon, it usually won't impede progress. Your orthodontist can adjust the aligner to make space for the extracted tooth or surgical site, ensuring your treatment continues smoothly.
Consultation for Wisdom Teeth and Clear Aligners
Should I Remove My Wisdom Teeth Before Getting Aligners?
Research shows that most people, about 85%, will need to remove their wisdom teeth at some point. If you ??re not in the small 15% group, you ??ll likely need this procedure.
Doctors may suggest removing wisdom teeth for several reasons. These include teeth pushing on others nearby. It can also be due to gum problems and infections. Tooth decay or loss is another reason.
Some people experience jaw pain and numbness. Others may have cysts or tumors. Difficulty with biting and eating can also be a sign.
Other symptoms include severe headaches and earaches. Bad breath that won ??t go away can be a sign of decay and disease.
Wisdom teeth problems vary from person to person, which can impact both clear aligners and overall oral health. Your dentist or orthodontist may recommend removing wisdom teeth as a precautionary measure to avoid potential issues.
It's wise to take preventive action since extractions could become necessary later on. Maintain your oral health by brushing and flossing regularly to reduce the risk of tooth movement due to wisdom teeth. In just 22 hours, you can make a positive impact on your oral health, even while moving your teeth with braces and wires.
Extraction can happen at any treatment stage, based on the diagnosis. You may want to speed up the process and remove them sooner rather than later.
Consult About Wisdom Teeth Extraction
Will Wisdom Teeth Removal Straighten Teeth?
You might think that wisdom teeth can affect your orthodontic treatment results. This is not necessarily true.
Wisdom teeth often have less room to erupt compared to other teeth. This could lead to crowding , spacing, and shifting issues. However, this is not always the case.
People may feel that their alignment has changed after wisdom teeth removal. They might notice this especially if they are wearing any type of braces. These include traditional metal braces, ceramic braces, and lingual braces.
But remember, this is just a perception. It ??s not a proven fact. So, don ??t worry too much about your wisdom teeth affecting your orthodontic treatment results.
Braces with brackets and wires can influence your bite alignment. After extraction, you might feel a change. But, extraction doesn ??t drastically change the alignment of your teeth. Even if you leave them in, it ??s the same.
You might consider removing them due to indirect complications. These could be related to orthodontic treatment, like pain or gum disease. However, there ??s not much solid proof that wisdom teeth directly affect bite alignment.
When the pressure is gone, you might feel more space in your bite. But, wearing your retainer regularly has a bigger effect. It helps prevent your teeth from shifting back after treatment. This is more effective than removing wisdom teeth.
Consult on Wisdom Teeth and Orthodontic Results
Is Wisdom Teeth Removal Covered by Insurance?
The cost of wisdom teeth removal can range from a few hundred to just over $1000. This cost depends on several factors. These include the complexity of the case, the number of teeth that need removal, the type of anesthesia used, the cost of exams and x-rays, the location of the provider, and the extent of tooth eruption.
If you have dental insurance, it often covers some costs of oral surgery. This includes the removal of wisdom teeth.
This means you don ??t have to pay the full price for these procedures. The insurance plans takes care of a portion of it. This can make dental care more affordable for many people.
This coverage applies if the procedures are medically necessary. It ??s always a good idea to check with your insurance provider. You want to make sure your provider offers dental coverage for wisdom tooth extraction.
Even without dental insurance, you have other options to cover some of the cost. These options can also cover the cost of braces work.
Wisdom tooth extraction and orthodontic treatments like wearing braces with stainless steel brackets and wires are eligible expenses. Regular flexible spending accounts (FSAs), restricted care FSAs, and health savings accounts (HSAs) offer insurance coverage. Your orthodontic provider may also offer a flexible, affordable low monthly payment plan.
You can check this by talking to an orthodontist. Make sure they are trusted and have a license.
During your initial consultation for clear aligner treatment, you shouldn ??t be afraid to ask whether or not the presence of your wisdom teeth, and the need for any associated office visits, would cause problems. At that point, your orthodontist can determine if the removal of wisdom teeth is a required process.
Consult on Wisdom Teeth Removal CostsRead More On Invisalign
Accelerated Invisalign – Propel’s VPro5
Diamond Braces is happy to offer its patients VPro5 by Propel Invisalign, the latest tool that helps to straighten your teeth quicker.
Read More About Propel’s VPro5Can You Get Clear Aligners with Wisdom Teeth?
In many cases, patients can still be viable candidates for removable clear aligners with veneers, bridges, crowns, or other dental restorations.
Read More About Clear Aligners with Wisdom Teeth
Can You Wear Aligners with Cavities? A Comprehensive FAQ Guide
Cavities are among the most common oral health problems from which patients will suffer. According to CDC estimates, around 57% of adolescents suffer from cavities, and 90% of adults aged 20 and older have at least one cavity.
Read More About Wear Aligners with CavitiesCan You Wear Invisalign Aligners with Cavities? A Comprehensive FAQ Guide
Cavities are among the most common oral health problems from which patients will suffer. According to CDC estimates, around 57% of adolescents suffer from cavities, and 90% of adults aged 20 and older have at least one cavity.
Read More About Wear Invisalign Aligners with CavitiesCan You Wear Invisalign Aligners With Dental Restorations?
If you’re considering wearing Invisalign clear aligners to treat your malocclusions, but have oral restorations like crowns, implants, veneers, or bridges, you might be wondering if you’re even capable of wearing them in the first place. After all,
Read More About Wear Invisalign Aligners With Dental Restorations
Clear Aligners and Gum Recession: A Comprehensive FAQ Guide
One of the big perks of removable clear aligners for many patients is the gentler relationship between the appliance and their teeth.
Read More About Clear Aligners and Gum RecessionClear Aligner Discomfort Guide: Cuts, Sores, Pains, and More
As a clear aligner patient, you might incorrectly assume that your appliances are less injury averse than braces. After all, you don’t have a wire and brackets constantly affixed to your teeth that you’re constantly concerned about maintaining
Read More About Clear Aligner Discomfort GuideClear Aligner Storage Dos and Don’ts
Since clear aligners are removable, you may assume that removability means less maintenance than fixed appliances.
Read More About Clear Aligner Storage
Clear Aligner Storage Dos and Don’ts
Since clear aligners are removable, you may assume that removability means less maintenance than fixed appliances.
Read More About Storing Your Clear AlignersClear Aligners Not Tracking? Here’s Why, And Here’s How to Fix That
One exciting privilege of wearing clear aligners is the ability to watch your results progress from a transparent, crystal clear vantage point. It can be a wonderful thing to watch your smile gradually straighten into the dream symmetrical alignment of your desires.
Read More About Clear Aligners Not Tracking
Clear Aligner Discomfort Guide: Cuts, Sores, Pains, and More
As a clear aligner patient, you might incorrectly assume that your appliances are less injury averse than braces. After all, you don’t have a wire and brackets constantly affixed to your teeth that you’re constantly concerned about maintaining.
Read More About Clear Aligner Discomfort
Do Clear Aligners Give You A Lisp?
If you’re a new clear aligner patient, there’s a chance you may notice some emergent slurring and lisping issues you didn’t have to deal with before. Fortunately, these issues are extremely treatable, and often, reversible.
Read More About Clear Aligners Give You A LispCan You Wear Invisalign Aligners With Dental Restorations?
If you’re considering wearing Invisalign clear aligners to treat your malocclusions, but have oral restorations like crowns, implants, veneers, or bridges, you might be wondering if you’re even capable of wearing them in the first place.
Read More About Wear Invisalign AlignersWhat Do Invisalign Aligners Treat?
Experienced orthodontists use the Invisalign™ system as a treatment tool for many orthodontic problems.
Read More About Invisalign Aligners TreatWhat Insurance Plans Cover Invisalign Treatment in NY and NJ?
Invisalign clear aligners offer many potential perks that could appeal to patients over traditional metal braces or ceramic braces. Unlike other orthodontic appliances, Invisalign clear aligners can be
Read More About Insurance Plans CoverClear Aligners Not Tracking? Here’s Why, And Here’s How to Fix That
One exciting privilege of wearing clear aligners is the ability to watch your results progress from a transparent, crystal clear vantage point. It can be a wonderful thing to watch your smile gradually straighten into the dream symmetrical alignment of your desires
Read More About Clear Aligners Not TrackingWho Is A Good Candidate for Invisalign Treatment, And Who Isn’t?
Invisalign clear aligners may offer more appealing and alluring perks to orthodontic patients, including
Read More About Good Candidate for InvisalignWhich is Right for Your Smile?
SureSmile vs. Invisalign Treatment: Which is Right for Your Smile?
Read More About Which is Right for Your Smile
Purchasing Related FAQ on Invisalign.
Are you intrigued by the idea of achieving a beautifully aligned smile with the discreet and innovative approach of Invisalign? Our comprehensive guide, "Purchasing Related FAQ on Invisalign," is your go-to resource for answers to the most frequently asked questions about acquiring Invisalign clear aligners.
Read More About Purchasing Related FAQ on Invisalign
Age Related FAQ on Invisalign.
Curious about whether Invisalign clear aligners are suitable for you or a loved one, regardless of age? Look no further than our comprehensive guide, "Age-Related FAQ on Invisalign," designed to address the most common questions and concerns about pursuing Invisalign treatment at any stage of life.
Read More About Age Related FAQ on Invisalign
Food Related FAQ on Invisalign.
Navigating the world of orthodontics with Invisalign clear aligners while savoring your favorite foods is easier than you think. Our comprehensive guide, "Food-Related FAQ on Invisalign," has been curated to answer your most pressing questions and provide practical insights on how to enjoy a diverse and satisfying diet during your Invisalign journey.
Read More About Food Related FAQ on Invisalign
Effective Methods for Treating Open Bite Issues
They are a popular and affordable way to correct an open bite. They are an effective choice for many people.
Read More About Treating Open Bite Issues
Effective Dental Crowding Treatment Options
Dental crowding, which causes pain, discomfort, and embarrassment, needs attention. If ignored, it can lead to serious health issues.
Read More About Dental Crowding Treatment
Comprehensive Guide to Overbite Treatment
Overbites are common and well-studied. They can be effectively treated by a licensed orthodontist. Orthodontists undergo extensive training to straighten your teeth. Their expertise is crucial for safe and successful treatment options.
Read More About Guide to Overbite Treatment
Are Impacted Teeth Bad for Your Health?
It is important to treat impacted teeth because leaving them alone can have serious consequences for your other teeth, as well as your overall health.
Read More About Impacted Teeth
The Significance of Braces, Invisalign, Surgery, & Retainers
Expert orthodontists use metal and ceramic braces to treat overjets with excellent results.
Read More About Braces, Invisalign, Surgery, & Retainers
Effective Treatment Options for Correcting Crossbite
Orthodontic treatment for crossbites can effectively address your concerns.
Read More About Correcting Crossbite
Exploring Dental Coverage and Invisalign Options
If your family is enrolled in UnitedHealthOne dental primary plans, there may be benefits for your children. These plans often include orthodontic coverage.
Read More About Dental Coverage and Invisalign Options
Cost-Effective Invisalign Tips & Alternatives
When using the tool, uncheck “general dentists” and leave only “orthodontists.” Orthodontists are more experienced in moving teeth and offer lower prices for orthodontic treatment. They may also offer lifetime smile guarantees.
Read More About Cost Effective Invisalign Tips
Mail-Order Aligners vs. Invisalign: You Need to Know
Mail-order aligners often promise straight teeth in 6 months, but this mainly applies to simple cases. For more complex dental conditions, achieving straight teeth can take longer.
Read More About aligner comparison
Clear Aligner Care: Dos and Don'ts
Storing clear aligners properly is important. When they are left out carelessly, many issues can arise. They can get lost, stolen, stepped on, or even contaminated.
Read More About Clear Aligner Care
Avoid Common Mistakes with Clear Aligners
Storing clear aligners properly is crucial. When you leave them out, they can easily be lost, stolen, or stepped on.
Read More About Mistakes with Clear Aligners
Exclusive Invisalign Technology by Expert Doctors
When you choose an experienced Invisalign doctor, you gain access to patented technology and materials that only orthodontists providing Invisalign therapy can use.
Read More About Invisalign Technology
Frequently Asked Question on Invisalign Attachments
Keep your Invisalign attachments on during your orthodontic treatment, but you can take them off for important events like weddings or religious ceremonies.
Read More About Invisalign Attachments FAQs
All About Invisalign: Chewies, Vivera, Treatment & Care
Invisalign chewies are a handy tool for improving your aligners' fit. They're made of soft, non-edible material. Simply chew them for 5-10 minutes daily to get the best results with your aligners.
Read More About All About Invisalign
Orthodontic Insurance Options: Invisalign & More
The UnitedHealthOne orthodontic coverage for children" is available under certain dental insurance plans. This coverage helps pay for orthodontic treatments like braces for kids under 19 years old.
Read More About Orthodontic Insurance Options
Is SmartTrack Material BPA-Free?
Yes, The SmartTrack material is BPA-free, ensuring a safer and healthier option. BPA, which stands for Bisphenol-A, is a chemical typically present in some plastics.
Read More About SmartTrack Material
Vivera Retainers: Cost, Durability, and Care
Vivera retainers offer an affordable vivera retainer cost, ranging from $800 to $1,500. This price includes four sets of top-and-bottom retainers, totaling eight retainers.
Read More About Vivera Retainers
Get Invisalign in NYC at Diamond Braces
You can start Invisalign treatment at Diamond Braces in NYC! Diamond Braces is a Diamond Plus Invisalign provider, meaning we’re in the top 1% of all Invisalign providers in the country!
Read More About Get Invisalign in NYC
Optimal Duration: How Long to Wear Retainers Daily?
When you first get your braces off or finish your clear aligner treatment, your orthodontist will provide instructions for retainer wear.
Read More About How Long to Wear Retainers Daily
